
1347 Hartford Ave • Johnston, RI 02919
401-861-1080 • 401-861-7643
|
|||||
|
|
|
||||
|
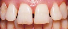
Porcelain veneers, also termed dental veneers or dental porcelain laminates, are one of cosmetic dentistry’s more recent developments. Porcelain veneers are wafer-thin shells of porcelain that can be bonded onto the front side of teeth to make a cosmetic improvement in the teeth’s appearance. Porcelain veneers are routinely used to idealize teeth that are: ▪ Stained or discolored For decades dentists have had available to them materials that can create a durable bond to tooth enamel. These bonding materials are used to securely attach a thin sheet of porcelain (the porcelain veneer) to a tooth. Although porcelain is inherently brittle, when it is firmly bonded to a sturdy substructure (a tooth) it becomes very strong and durable. |
||||
|
|||||
|
Advantages of Porcelain Veneers |
||||
| Back To Services | |||||
|
|||||
Home | About | Services | FAQs | Gallery | Contact |
|||||


